Kompleks koroner darlıkların (bifurkasyon-çatal damar, kalsifik-kireçli damar, tortüyoz-kıvrımlı damar..) tedavisinde bypass ameliyatı son yıllara kadar tek seçenekti. Ancak yeni stent teknikleri, damar içi bazı cihazlar-rotablatör (kireç temizleyici), özel tellerle kompleks damarlara da stent yerleştirmek mümkün hale gelmiştir. Artık düşük risk skorlu hastalarda stent bypass ameliyatına alternatif bir yöntem hatta bazı hastalarda daha iyi bir yöntem haline gelmiştir.

Bununla birlikte kompleks damarlara stent yerleştirmesi özel malzemeler, teknikler gerektiği, riski normal operasyonlara göre yüksek olduğu için tecrübeli ellerde ve merkezlerde yapılması gerekmektedir.  Gaziantep Üniversitesi Kardiyoloji Anabilim Dalı bu operasyonların Türkiye’de yoğun olarak uygulandığı merkezlerden birisidir. Prof. Dr. Mehmet Aksoy bu konuda ülkemizde en deneyimli birkaç operatörden birisidir ve ulusal-uluslararası düzeyde bu konuda eğitmen olarak da görev yapmaktadır.

 

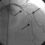
LAD damarı orta kısmında uzun, çatal iki yan damar çıkan, bir yan damarın girişinde de darlık olan kompleks darlık.


LAD damarı orta kısmında uzun, çatal iki yan damar çıkan, bir yan damarın girişinde de darlık olan kompleks darlık.

Çatallanma yapan üç damara 3 tel yerleştirilerek üç damara aynı anda müdahale ediliyor.


Çatallanma yapan üç damara 3 tel yerleştirilerek üç damara aynı anda müdahale ediliyor.

LAD damarı orta kısmına uzun, yan damar ağzına kısa stent çatal şeklinde yerleştirilerek kompleks darlık açıldı.


LAD damarı orta kısmına uzun, yan damar ağzına kısa stent çatal şeklinde yerleştirilerek kompleks darlık açıldı.