Kalbi besleyen koroner damarların bazıları yavaş yavaş daralır ve sonunda tam olarak tıkanır. Bu sırada yavaş yavaş gelişen kılcal damarlarla kalp kası hayatiyetini devam ettirir.  Ancak bu kılcal damarlar kalbi beslemeye yeterli değildir,  hastada göğüs ağrısı, kalp yetmezliği ve kalp krizi gelişebilir. Bu da hastanın ömrünü kısaltır.

Tam tıkalı bu damarlar çok sert, kireçli olduğu için açılması zor ve çaresiz kalınan damarlardır. Ancak son yıllarda geliştirilen özel teller, kataterler, cihazlar ve tekniklerle bu damarların anjiyo yoluyla açılması mümkün hale gelmiştir.

Tam tıkalı damarların açılması (kronik total oklüzyon-cto) olarak adlandırılan bu operasyon özel malzemeler, teknikler gerektiği, riski normal operasyonlara göre yüksek olduğu için tecrübeli ellerde ve merkezlerde yapılması gerekmektedir.

Gaziantep Üniversitesi Kardiyoloji Anabilim Dalı bu operasyonların Türkiye’de ilk başladığı ve uygulandığı az sayıda merkezlerden birisidir. Prof. Dr. Mehmet Aksoy bu konuda ülkemizde en deneyimli birkaç operatörden birisidir ve ulusal-uluslararası düzeyde bu konuda eğitmen olarak da görev yapmaktadır.

 

 

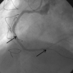
Bypass ameliyatı olmuş bir hastanın sağ damara bacaktan alınarak bağlanan bypass damarı


Daha önce bypass ameliyatı olmuş bir hastanın sağ damara bacaktan alınarak bağlanan bypass damarı tıkanmış. Sağ damar orta yerinden (1. ok) uç kısmına (2.ok) kadar tam tıkalı, uç kısmı sol taraf damardan yan kılcal damarlar ile hafif doluyor.

Hastanın sağ damarı tam tıkalı damarları açma yöntemi (cto) ile sol damardan yan kılcal damar


Hastanın sağ damarı tam tıkalı damarları açma yöntemi (cto) ile sol damardan yan kılcal damarlar vasıtasıyla özel mikrokateterler ve teller ile tersten gelinerek açıldı, iki ok arasına stent yerleştirildi.